التهاب اللثة

التهاب اللثة

ما هو التهاب اللثة؟

التهاب اللثة هي حالة مرضية شائعة تصيب اللثة، وتسبب تهيجًا واحمرارًا وتورمًا في اللثة حول قاعدة الأسنان، وإذا تركت دون علاج يمكن أن تؤدي لأمراض أكثر خطورة وتسبب فقدان الأسنان، وتنتج عادةً عن عدوى بكتيرية بسبب قلة نظافة الفم، فعلينا المواظبة على تنظيف الأسنان مرتين على الأقل يوميًا وفحص الأسنان بانتظام[١][٢].


ما هي أسباب الإصابة بالتهاب اللثة؟

السبب الأكثر شيوعًا لالتهاب اللثة هو قلة نظافة الفم التي تشجع على تكون الترسبات (البلاك) بين وحول الأسنان، مما يسبب التهابًا في أنسجة اللثة المحيطة ويؤدي إلى تدميرها وقد يؤدي أيضًا في النهاية إلى مضاعفات أخرى، بما في ذلك فقدان الأسنان؛ وإليك كيف يمكن أن تؤدي الترسبات إلى التهاب اللثة[١][٣]:

  • يتكون البلاك على أسنانكِ وهو عبارة عن غشاء لزج غير مرئي يتراكم طبيعيًا على الأسنان ويتكون بشكل أساسي من البكتيريا التي تحاول التمسك بالسطح الأملس للسن هدفها أن تساعد في حماية الفم من البكتيريا، ويتطلب البلاك إزالة يومية لأنه يعاد تكونه بسرعة وقد يتسبب في تسوس الأسنان، ومشاكل اللثة مثل التهاب اللثة والتهاب دواعم السن المزمن وهو حالة متقدمة من التهاب اللثة تؤدي لفقدان الأسنان.
  • يتحول البلاك إلى جير عندما لا تُزال طبقة البلاك بشكل مناسب، ويمكن أن يصلب البلاك الذي يبقى على أسنانك تحت خط اللثة ليكون الكلس أو الجير الذي يجمع البكتيريا، وتحتاج إلى تنظيف أسنان احترافي لإزالة الجير حيث يجعل إزالة البلاك أكثر صعوبة ويخلق درعًا وقائيًا للبكتيريا ويسبب تهيجًا على طول خط اللثة.
  • تلتهب اللثة كلما طالت فترة بقاء البلاك والجير على أسنانك، ويزيد تهيج الجزء من اللثة حول قاعدة أسنانك مما يسبب الالتهاب مع مرور الوقت حول قاعدة الأسنان، فتتورم اللثة وتنزف بسهولة وقد ينتج أيضًا تسوس الأسنان، وإذا لم يعالج يمكن أن يتقدم التهاب اللثة إلى التهاب دواعم السن وفقدان الأسنان في نهاية المطاف.

يعد التهاب اللثة شائعًا ويمكن أن يصيب أي شخص، وتتضمن العوامل التي يمكن أن تزيد من خطر الإصابة بالتهاب اللثة ما يلي[١][٣]:

  • قلة العناية بالفم.
  • التدخين أو مضغ التبغ.
  • العمر، إذ يزداد خطر التهاب اللثة مع تقدم العمر.
  • جفاف الفم.
  • سوء التغذية، مثل نقص فيتامين ج.
  • ترميم الأسنان والتركيبات السنية التي لا تتناسب مع الأسنان أو الأسنان الملتوية التي يصعب تنظيفها.
  • الحالات التي تقلل من المناعة مثل سرطان الدم والإيدز أو علاج السرطان.
  • الأدوية ،لا سيما إذا انخفض تدفق اللعاب، ويمكن أن تتسبب بعض أدوية الصرع وبعض الأدوية المضادة للذبحة الصدرية في نمو غير طبيعي لأنسجة اللثة.
  • التغيرات في الهرمونات، قد يحدث في فترة البلوغ وانقطاع الطمث والدورة الشهرية والحمل أن تصبح اللثة أكثر حساسية، مما يزيد من خطر الالتهاب.
  • عوامل وراثية، إذ إن الأشخاص الذين أصيب آباؤهم بالتهاب اللثة يكونون أكثر عرضة للإصابة بها أيضًا، ويُعتقد أن هذا يرجع إلى نوع البكتيريا التي نكتسبها خلال حياتنا المبكرة.
  • الحالات الطبية مثل بعض الالتهابات الفيروسية والفطرية.
  • الأمراض مثل السكري ترتبط بارتفاع خطر الإصابة بالتهاب اللثة.


ما هي أعراض الإصابة بالتهاب اللثة؟

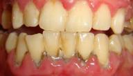
يكون لون اللثة الصحية ورديًّا باهتًا، وتكون مثبتة بإحكام حول الأسنان، وفي الحالات الخفيفة من الالتهاب قد لا يكون أي انزعاج أو أعراض ملحوظة؛ وقد تشمل علامات التهاب اللثة وأعراضها ما يلي:

  • لثة حمراء غامقة أو أرجوانية اللون.
  • لثة متهيجة قد تكون مؤلمة عند لمسها.
  • نزيف اللثة عند تنظيف الأسنان بالفرشاة أو الخيط.
  • البخر أو رائحة الفم الكريهة.
  • انحسار اللثة.
  • اللثة الطرية (الرخوة).
  • تورم أو انتفاخ اللثة.

إذا لاحظتِ أيًا من علامات وأعراض التهاب اللثة حددي موعدًا مع طبيب الأسنان، فكلما طلبتِ الرعاية مبكرًا زادت فرصكِ في عكس الضرر الناتج عن الالتهاب ومنع حدوث مضاعفات مثل الخُرَّاج أو العدوى في اللثة أو عظم الفك، والتهاب دواعم السن، والتهاب اللثة المتكرر، أو فم الخندق وهي عدوى بكتيريَّة تؤدي إلى تقرُّح اللثة[٣][١].


كيف يعالج التهاب اللثة؟

يمكن علاج التهاب اللثة بنجاح إذا حدث التشخيص مبكرًا وإذا كان العلاج سريعًا وسليمًا، فتنعكس الأعراض ويتوقف تقدم الالتهاب إلى أمراض أكثر خطورة أو يؤدي إلى فقدان الأسنان، ويشمل العلاج الناجح رعاية أخصائي الأسنان، وإجراءات المتابعة التي يقوم بها المريض في المنزل واتباع روتين يومي للعناية الجيدة بالفم والتوقف عن تعاطي التبغ، وتشمل رعاية التهاب اللثة الاحترافية ما يلي[١][٣]:

  • تنظيف الأسنان الاحترافي: يشمل التنظيف الاحترافي الأولي إزالة جميع آثار البلاك، والجير والمنتجات البكتيرية وهو إجراء يُعرف باسم التقشير وتخطيط الجذر، إذ يزيل التقشير الجير والبكتيريا من أسطح الأسنان وتحت اللثة، ويزيل التخطيط الجذري المنتجات البكتيرية التي ينتجها الالتهاب، وينعم أسطح الجذور، ويثبط تراكم الجير والبكتيريا، ويسمح بالشفاء السليم؛ ويمكن تنفيذ الإجراء باستخدام أدوات أو الليزر أو جهاز فوق الصوتي، وقد يكون غير مريح لو كانت اللثة حساسة أو كان تراكم الجير واسع النطاق.
  • ترميم الأسنان: الأسنان المنحرفة أو التيجان أو الجسور أو ترميمات الأسنان غير المناسبة قد تهيج اللثة وتجعل من الصعب إزالة البلاك أثناء العناية اليومية بالفم، فإذا ساهمت مشاكل الأسنان أو التركيبات السنية في التهاب اللثة؛ يوصي طبيب الأسنان بإصلاح هذه المشاكل.
  • الرعاية المستمرة: عادة ما يزول التهاب اللثة بعد التنظيف الاحترافي الشامل طالما تحافظ على نظافة الفم بشكل جيد في المنزل، سيساعدك طبيب الأسنان في تخطيط برنامج فعال بالمنزل وجدول زمني للفحوصات المهنية المنتظمة والتنظيف، وإذا كنت ملتزمة بنظافة فمك في المنزل يجب أن تلاحظي عودة أنسجة اللثة الوردية والصحية في غضون أيام أو أسابيع، فيجب تنظيف الأسنان مرتين في اليوم على الأقل و باستخدام فرشاة أسنان كهربائية، بالإضافة إلى استخدام خيط الأسنان مرة واحدة على الأقل في اليوم، وشطف الفم بانتظام بغسول الفم المطهر كما يمكن لطبيب الأسنان أن يوصي بفرشاة وغسول فم مناسبين.


هل يمكن الوقاية من الإصابة بالتهاب اللثة؟

يمكنكِ الوقاية من الإصابة بالتهاب اللثة باتباع عدة إجراءات، أهمها[١][٤]:

  • الحفاظ على نظافة الأسنان: وهذا يعني تنظيف الأسنان بالفرشاة لمدة دقيقتين على الأقل مرتين يوميًا في الصباح وقبل النوم وبالخيط مرة واحدة على الأقل في اليوم، والأفضل أن تغسلي أسنانكِ بعد كل وجبة أو كما يوصي طبيب الأسنان، بالإضافة لتنظيف الأسنان بالخيط قبل تنظيفهم بالفرشاة حتى تتمكني من إزالة البكتيريا وجزيئات الطعام المتحللة العالقة بين الأسنان، واستخدمي غسول الفم.
  • زيارات منتظمة لعيادة الأسنان: راجعي طبيب الأسنان أو أخصائي صحة الأسنان بانتظام للتنظيف، كل ستة إلى اثني عشر شهرًا، إذا كانت لديكِ عوامل خطر تزيد من فرصتك في الإصابة بالتهاب دواعم السن مثل جفاف الفم أو تناول أدوية معينة أو التدخين فقد تحتاجين إلى تنظيف احترافي أكثر، ويمكن أن تساعدكِ الأشعة السينية السنوية للأسنان في تحديد الأمراض التي لا يمكن تمييزها في فحص الأسنان البصري ومراقبة التغيرات في صحة الأسنان.
  • الممارسات الصحية الجيدة: إن الممارسات مثل الأكل الصحي والحمية منخفضة السكر والمحافظة على مستوى سكر الدم إذا كنتِ مصابةً بداء السكري والإقلاع عن التدخين أو تجنبه مهمة أيضًا للحفاظ على صحة اللثة.


أسئلة تجيب عنها حياتكِ

هل يمكن علاج التهاب اللثة بالأعشاب؟

يجب على الناس علاج أعراض التهاب اللثة والعلامة الرئيسية الدالة هي اللثة التي تنزف بانتظام عند تنظيفها بالفرشاة أو بالخيط، وبمجرد ملاحظتها لتجنب الإصابة بأمراض اللثة، وتوجد عدة طرق لعلاج التهاب اللثة، منها العلاج بالأعشاب الذي أثبت نجاحه في علاج الالتهاب من خلال عدة طرق تستخدم مجتمعة أو كلًا على حدة، منها[٤]:

  • غسول الفم بزيت عشب الليمون، إذ أثبتت الدراسات أن زيت عشب الليمون قد يكون أكثر فاعلية بمحاربة التهاب اللثة والترسبات المسببة له من غسولات الفم التقليدية، ويمكن صنعه بوضع قطرتين أو ثلاث قطرات من زيت عشب الليمون في كوب من الماء والمضمضة به، وتكرر هذه العملية ثلاث مرات يوميًا.
  • غسول الفم بالالوفيرا، إذ أُثبتت أن الألوفيرا مكون فعال في محاربة أعراض التهاب اللثة في غسولات الفم التقليدية استنادًا للدراسات، ويمكن المضمضة بعُصارة الألوفيرا كما هي دون تخفيف طالما أنها نقية، وتكرر العملية ثلاث مرات يوميًا.
  • غسول الفم بزيت شجرة الشاي، وُجِد أن زيت شجرة الشاي يقلل من النزيف المصاحب لالتهاب اللثة بشكل كبير إلا أنه قد يتعارض مع بعض الأدوية لذا يفضل استشارة الطبيب قبل استخدامه لأول مرة، أما بالنسبة لكيفية صنعه فيضاف ثلاث قطرات من زيت شجرة الشاي إلى كوب من الماء الدافئ ويستخدم كباقي الغسولات منزلية الصنع.
  • غسول الفم بالميرمية، إذ تم التوصُّل إلى أن غسول الفم بالميرمية يقلل البكتيريا المسببة لتكون الترسبات (البلاك) بشكل كبير، ويجهز عن طريق إضافة ملعقتي طعام من الميرمية الطازجة أو ملعقة طعام من الميرمية المجففة إلى كوب من الماء المغلي، ويترك ينقع لمدة عشر دقائق ثم يُصفى ويستخدم ثلاث مرات يوميًا.
  • غسول الفم بأوراق الجوافة، يساعد غسول أوراق الجوافة في السيطرة على البلاك بسبب كونه يحتوي على مضادات للبكتيريا، ويقلل من الالتهاب، ولتحضيره تحتاجين لطحن ستة من أوراق الجوافة وإضافتهم إلى كوب من الماء المغلي وغليهم ببطء لمدة ربع ساعة ثم تضاف كمية قليلة من الملح ويترك الخليط يبرد قبل استخدامه كباقي الغسولات المنزلية.
  • جل الكركم، إذ يساعد جل الكركم في منع تكون الترسبات وعلاج التهاب اللثة إذ يمتلك خصائص مضادة للالتهاب وللفطريات، ويمكن الحصول على جل الكركم من متاجر الأطعمة الصحية أو العلاجات البديلة، ويمكن استخدامه لعلاج التهاب اللثة عن طريق وضعه على اللثة وتركه عشر دقائق قبل غسله بالمضمضة بالماء.


هل يمكن علاج التهاب اللثة بزيت الزيتون؟

يعد زيت الزيتون أفضل الزيوت على الإطلاق، فهو غني بالدهون الصحية غير المشبعة، ويحتوي على كميات كبيرة من مضادات الأكسدة التي تحارب السرطان وله خصائص مضادة للالتهاب وللبكتيريا والكثير من المزايا الأخرى التي تجعله يحارب مختلف الأمراض ويقي منها -مثل السكري وأمراض القلب-، ويفيد في تقليل البكتيريا بالفم فيحدّ من تراكم الترسبات المسببة لالتهاب اللثة؛ وذلك من خلال عملية السحب بالزيت، ويمكن القيام بها من خلال وضع ملعقتين من الزيت داخل الفم والمضمضة بها لثلاثين دقيقة تقريبًا وشرب كأس ماء بعد بصق الزيت ثم تنظيف الأسنان، ويمكن الاستعاضة عن زيت الزيتون بزيت جوز الهند إذ يفي بالغرض[٤][٥].


المراجع

  1. ^ أ ب ت ث ج ح "Gingivitis"، mayoclinic، Retrieved 2020-7-7. Edited.
  2. Christine Frank (2019-10-31)، "Gum Disease (Gingivitis and Periodontitis)"، healthline، Retrieved 2020-7-7. Edited.
  3. ^ أ ب ت ث Christine Frank،Tim Newman (2018-1-5)، "Causes and treatment of gingivitis"، medicalnewstoday، Retrieved 2020-7-9. Edited.
  4. ^ أ ب ت Christine Frank، Lana Burgess (2017-9-6)، "Four effective gingivitis home remedies"، medicalnewstoday، Retrieved 2020-7-9. Edited.
  5. Joe Leech (2018-9-14)، "11 Proven Benefits of Olive Oil"، healthline، Retrieved 2020-7-10. Edited.

فيديو ذو صلة :